|
"It (Full Arch Intraoral Dental Mirror) does have the distinct advantage of keeping your hands away from your image!
It's amazing how easy it is to use,
once you get past the idea that the bend actually HELPS you keep the image clear of fingers and retractors. I would highly
recommend adding it to any dentists armamentarium to help get those tight shots, especially with patients with restricted
opening."
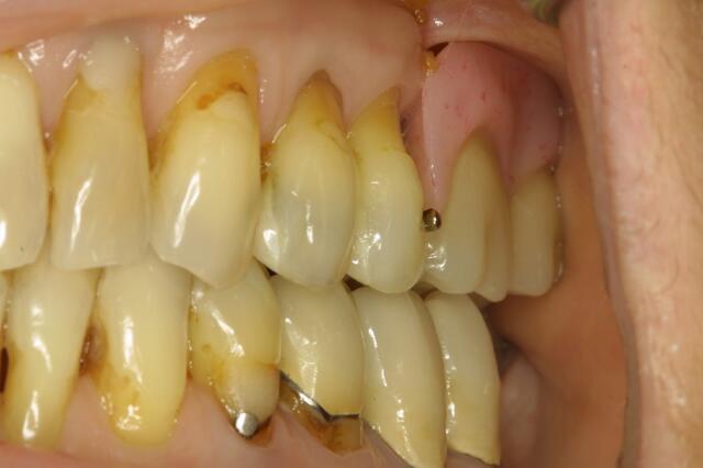
"The unique size of your mirror is between the standard sized 'large' and 'small' mirror, so it's perfect for those
patients 'in the middle' size wise! I took a couple shots I'm enclosing. I also like the fact that these mirrors are
MUCH more durable than the standard rhodium coated mirrors. This advantage will be more obvious with time, given the
fact that a few of my existing standard mirrors are quite scratched and some of the edges are showing some signs of
wear, mostly from being inadvertantly bumped around from sterilization. When I teach for Genx, I try to make it clear
that the less unrelated items you can include on your image (fingers, retractors) the better the image!"
"Your mirrors make it easy to get great shots with minimal show of extraneous details."
- Dr. Raymond J. Voller
DMD, MAGD, FADI, FACE Advisory Board of Directors and Clinical Digital Photography Instructor, genR8TNext
|
|


- photography by Raymond J. Voller, DMD, MAGD, FADI, FACE
|